Laat uw tanden bleken bij Maliekwartier Tandartsen in Utrecht om uw tanden witter te maken en de uitstraling van uw gebit te verbeteren. Door uw tanden te bleken onder professionele begeleiding van een tandarts behaalt u gegarandeerd een esthetisch mooi resultaat. In de loop der tijd kan ons gebit verkleuren door bijvoorbeeld roken, eten en drinken. Maliekwartier Tandartsen kan u helpen om door middel van thuis bleken uw tanden binnen korte tijd weer witter te maken.
- Tanden bleken onder begeleiding van een tandarts
- Uitwendig (thuis bleken) en intern bleken
- Om een bleekbehandeling uit te laten voeren bij Maliekwartier Tandartsen moet u patiënt zijn bij onze tandartspraktijk. U kunt zich inschrijven met behulp van het online inschrijfformulier.
- Avondbehandelingen mogelijk
Neem contact op door te bellen naar 030 760 1267 en informeer direct naar de prijzen van een bleekbehandeling. Online een consult aanvragen doet u via onderstaande button.
Snel naar
Via onderstaand menu navigeert u snel naar de gewenste informatie.
- De bleekbehandeling
- Uitwendig bleken (thuis bleken)
- Voor- en nafoto’s van thuis bleken
- Kosten en vergoeding thuis bleken
- Intern tanden bleken
- Kosten en vergoeding intern bleken
- Voor- en nafoto’s van intern bleken
- Contact
- Veelgestelde vragen over tanden bleken
- Consult inplannen
De bleekbehandeling
Er zijn verschillende redenen waarom tanden kunnen verkleuren. In veel gevallen is het met bleken mogelijk om tanden witter te maken, maar we adviseren om dit altijd onder begeleiding van een tandarts of mondhygiënist te doen.
Voor het bleken van tanden zijn verschillende opties mogelijk. Afhankelijk van de oorzaak en de specifieke situatie kan gekozen worden voor uitwendig bleken of intern bleken van de tanden.
Uitwendig bleken (thuis bleken)
Uitwendig bleken is een manier van bleken waarbij u thuis door middel van een speciaal gemaakt bleekbitje door middel van bleekgel de tanden thuis bleekt. Bij uitwendig bleken wordt de bleekgel aan de buitenzijde van de tanden aangebracht met behulp van een bleeklepel. De bleeklepel wordt enkele uren per dag in de mond gedragen waarbij de tanden na een aantal dagen, afhankelijk van de mate van verkleuring, voldoende gebleekt zijn.
Wij maken voor thuis bleken twee afspraken. Tijdens de eerste afspraak worden er afdrukken gemaakt van uw gebit, waarna door de tandtechnicus speciale bleeklepels voor de boven- en onderkaak worden gemaakt. Deze bleeklepels kunt u twee weken later ophalen in de praktijk en tijdens deze afspraak krijgt u uitgebreide instructies over het thuis bleken. Ook wordt de kleur van uw tanden vastgelegd, zodat deze goed kan worden vergeleken met het resultaat.
Voor- en nafoto’s van thuis bleken
Kosten en vergoeding thuis bleken
De kosten van uitwendig tanden bleken worden niet door de verzekering vergoed. Dit geldt zowel voor de basisverzekering als de aanvullende verzekering. Dit komt omdat uitwendig bleken een cosmetische behandeling is en niet direct van toegevoegde waarde voor de gezondheid van uw gebit.Zie hieronder een overzicht van de kosten van thuis tanden bleken bij Maliekwartier Tandartsen.
| Code | Behandeling | Tarief |
| E97 | Uitwendig bleken per kaak | € 94,83 |
| Techniekkosten | € 65,00 | |
| Kosten bleekgel | € 25,00 | |
| Totaal kosten per kaak | € 184,83 |
Intern tanden bleken
Indien een tand van binnenuit verkleurd is, bijvoorbeeld na een ongeval of door een wortelkanaalbehandeling, is het mogelijk om de tand aan de achterzijde te openen en het bleekmiddel in de tand in te sluiten. Daarna wordt de tand afgedicht met een tijdelijke vulling. Na een week wordt het resultaat beoordeeld. Afhankelijk van de mate van verkleuring is het soms nodig om het bleekmiddel te verversen en nogmaals een week te bleken. In veel gevallen wordt binnen 1 à 2 weken het gewenste resultaat bereikt. Daarna wordt de tand hersteld met een definitieve witte vulling aan de achterzijde.
Kosten en vergoeding intern bleken
Intern tanden bleken wordt ook niet vanuit de basisverzekering vergoed, maar in bepaalde gevallen wel door een aanvullende tandartsverzekering. De kosten worden dan veelal voor een bepaald bedrag of percentage vergoed, maar dit verschilt per verzekering. Raadpleeg daarom de polisvoorwaarden van uw verzekering voorafgaand aan de behandeling.Meer informatie over onze tarieven.
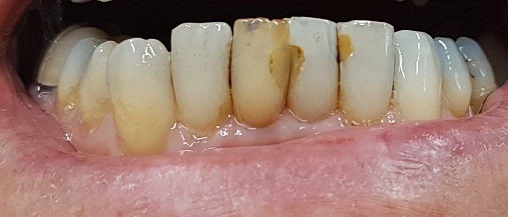
Voor- en nafoto’s van intern bleken
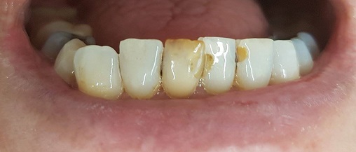
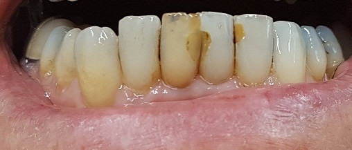
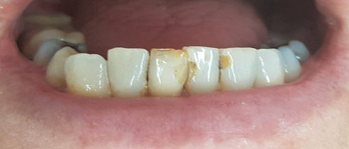
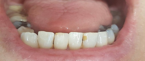
Hieronder ziet u de voortgang van een interne bleekbehandeling in vijf foto’s.

Foto 1: het gebit voorafgaand aan de bleekbehandeling

Foto 2: het gebit na één week intern bleken

Foto 3: het gebit na twee weken intern bleken

Foto 4: het gebit na drie weken intern bleken

Foto 5: het eindresultaat van het gebit na drie weken intern bleken en het vervangen van de restauraties
Heeft u vragen of wilt u weten of een bleekbehandeling geschikt is voor uw gebit? Neem dan contact met ons op.
Contact
Maliekwartier Tandartsen
Koningslaan 62
3583 GP Utrecht
Routeplanner
Openingstijden
Maandag: 08:00 – 20:00
Dinsdag: 08:00 – 20:00
Woensdag: 08:00 – 20:00
Donderdag: 08:00 – 20:00
Vrijdag: 08:00 – 16:00
Zaterdag: Gesloten
Zondag: Gesloten
“Mijn ervaringen met deze praktijk zijn zeer positief, ik kom er al 30 jaar. De tandarts is zeer betrokken, mijn kinderen zijn zelfs bij deze praktijk gebleven ondanks dat ze niet meer in Utrecht wonen.”
Veelgestelde vragen over tanden bleken
Hieronder beantwoordt de tandarts een aantal veelgestelde vragen over tanden bleken. Staat uw vraag er niet bij, neem dan gerust contact met ons op.
Is tanden bleken veilig?
Ja, tanden bleken is veilig voor uw tanden en kiezen. We maken gebruik van bleekmethodes die uw tanden en tandglazuur niet of nauwelijks aantasten.
Waardoor verkleuren tanden?
De kleur van uw tanden en kiezen is genetisch bepaald en verschilt dan ook per persoon. Naarmate u ouder wordt, worden tanden vanzelf donkerder van kleur omdat het tandbeen doorgroeit en de glazuurlaag afneemt. Daarnaast spelen uw eet- en drinkpatroon en gewoontes ook een rol. Kleurstoffen uit eten en drinken, zoals koffie, thee, wijn en vruchtenjam en ook roken zorgen voor verkleuring van de tanden.
Hoe wit zijn mijn tanden na de eerste keer bleken?
Hoe wit uw tanden zijn na de eerste bleekbehandeling is afhankelijk van de conditie van uw tanden en hoe gevoelig ze zijn voor de bleekgel die we gebruiken. De eerste dagen na de behandeling zijn uw tanden het witst. Na enkele dagen zal de witte kleur één tot twee tinten afnemen.
Doet tanden bleken pijn?
Nee, het bleken van uw tanden is geen pijnlijke behandeling. Wel is het mogelijk dat uw tanden na de behandeling wat gevoelig aanvoelen. Dit gevoel neemt echter snel weer af. Wanneer u last blijft houden van gevoelige tanden, raden we aan om contact met ons op te nemen voor advies.
Hoelang blijven mijn tanden witter?
Doorgaans blijft het effect van gebleekte tanden één tot twee jaar zichtbaar. Dit is echter sterk afhankelijk van uw eet- en drinkgewoontes en of u rookt. Het drinken van veel koffie, thee en wijn en het roken van sigaretten heeft een negatief effect op de kleur van de tanden. Door goede mondhygiëne en gebruik te maken van de juiste tandpasta heeft u langer plezier van uw witte tanden.
Is een bleekbehandeling voor iedereen geschikt?
Een bleekbehandeling is niet altijd de oplossing voor donkere of verkleurde tanden. Laat uw gebit daarom altijd beoordelen door een specialist. Daarnaast kleuren vullingen, facings, kronen en bruggen niet mee bij een bleekbehandeling. De tandarts zal u informeren en adviseren of tanden bleken het door u gewenste resultaat op zal leveren.
Hoe lang duurt de behandeling?
De duur van de bleekbehandeling hangt af van de behandelmethode. Bij inwendig bleken duurt het doorgaans langer om het gewenste resultaat te behalen dan bij uitwendig bleken. Bij intern bleken ziet u na 1 tot 2 weken resultaat en bij uitwendig bleken is de behandeling na enkele dagen vaak al geslaagd.
Hoe worden tanden gebleekt?
Om tanden en kiezen witter te maken gebruiken we een bleekgel met waterstofperoxide. Dit middel bleekt verkleuringen en maakt het tandglazuur minder doorzichtig, waardoor tanden een natuurlijke witte uitstraling krijgen.
Mag ik direct na de behandeling eten en drinken?
Door het bleken wordt het glazuur van tanden en kiezen tijdelijk iets gevoeliger. Het effect van de bleekgel is tijdelijk en het glazuur herstelt vanzelf weer. Kleurstofrijke etens- en drinkwaren en roken hebben een negatieve invloed op het resultaat, daarom is het raadzaam om de eerste uren na de bleekbehandeling dergelijke producten niet te nuttigen. Voor meer informatie kunt u de digitale bleekfolder bekijken van het Ivoren Kruis.
Mag ik mijn tanden vaker bleken?
Het is geen probleem om vaker uw tanden te bleken. Wanneer uw tanden weer zijn gaan verkleuren, maakt u een afspraak bij ons om de behandeling te herhalen.
Wordt de bleekbehandeling vergoed door de verzekering?
Nee, de verzekering dekt de kosten rondom het laten bleken van uw tanden vanuit de basisverzekering niet. Met een aanvullende verzekering heeft u in sommige gevallen wel recht op een vergoeding. Raadpleeg uw polis of neem contact op met uw zorgverzekeraar om te weten of u de behandeling vergoed krijgt.
Consult inplannen bij Maliekwartier tandartsen in Utrecht
Heeft u vragen over tanden bleken of wilt u graag meer informatie over uitwendig of intern bleken? Neem dan contact met ons op door te bellen naar 030 760 1267 of door een e-mail te sturen naar info@tandartsutrecht.nl. U kunt ook onderstaand formulier invullen voor een afspraak.


